Dental Implant
Regain Your Smile and Confidence
Dental implants offer a trusted, long-term solution for missing teeth, with a 95% success rate over 10 years. At Honolulu Periodontics and Implants, our board-certified specialists, Dr. Kenneth Choy and Dr. Ray Liao, expertly handle even complex cases with minimally invasive techniques, including bone grafting and sinus lifts. Contact us today for a consultation and a personalized treatment plan tailored to your needs.

Diagnosis

Consultation

Implant Placement

Implant Restoration
Top 10
Frequently Asked Questions about Dental Implants
Remember, this FAQ is general information, and it's essential to consult with a qualified dental professional for personalized advice and guidance based on individual circumstances.
A better way to do
dental implants
Our Values
More Accessible
Some implant cases require one or more augmentation
procedures, such as bone or soft tissue grafting, to establish a strong foundation for
long-term success. In these cases, a separate flat fee will be applied to cover all necessary grafting
for each implant site. This approach ensures clarity, transparency, and accessibility in your treatment costs from the very start.
Better Science
All of our implants are genuine Nobel Biocare system, a global leader in innovative technologies and dental implant engineering.
Nobel Biocare has over 40 years of scientific research, documented in more than 2,000 peer-reviewed scientific publications, and generally considered among the highest industry standards.
Better Technology
As a practice that strives to make specialty care accessible for all while staying on the cutting edge, we are constantly looking for ways to improve. We have a number of specialized equipment to handle a wide range of implant cases. By leveraging the latest technology in implant dentistry, we aim to treat every patient as safely and efficiently as possible
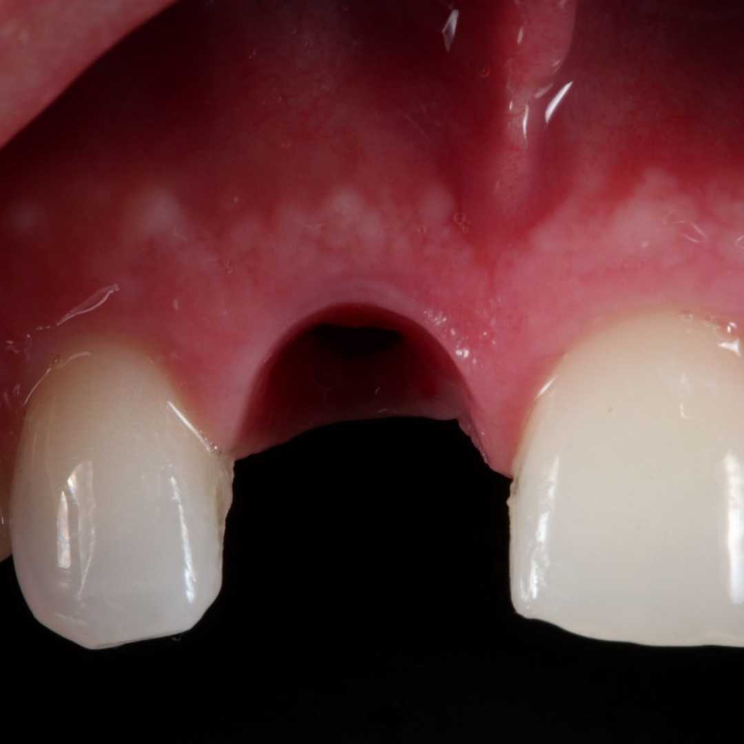
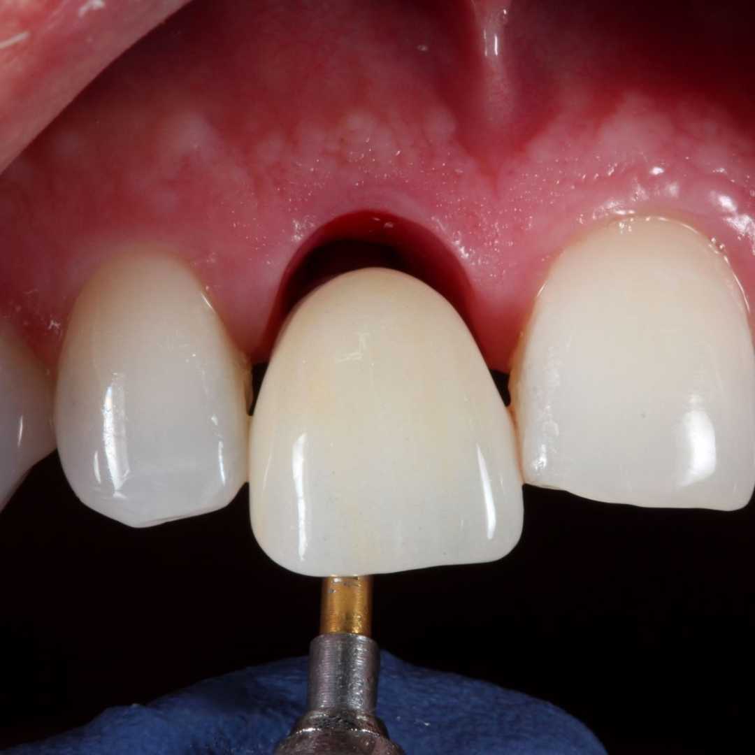
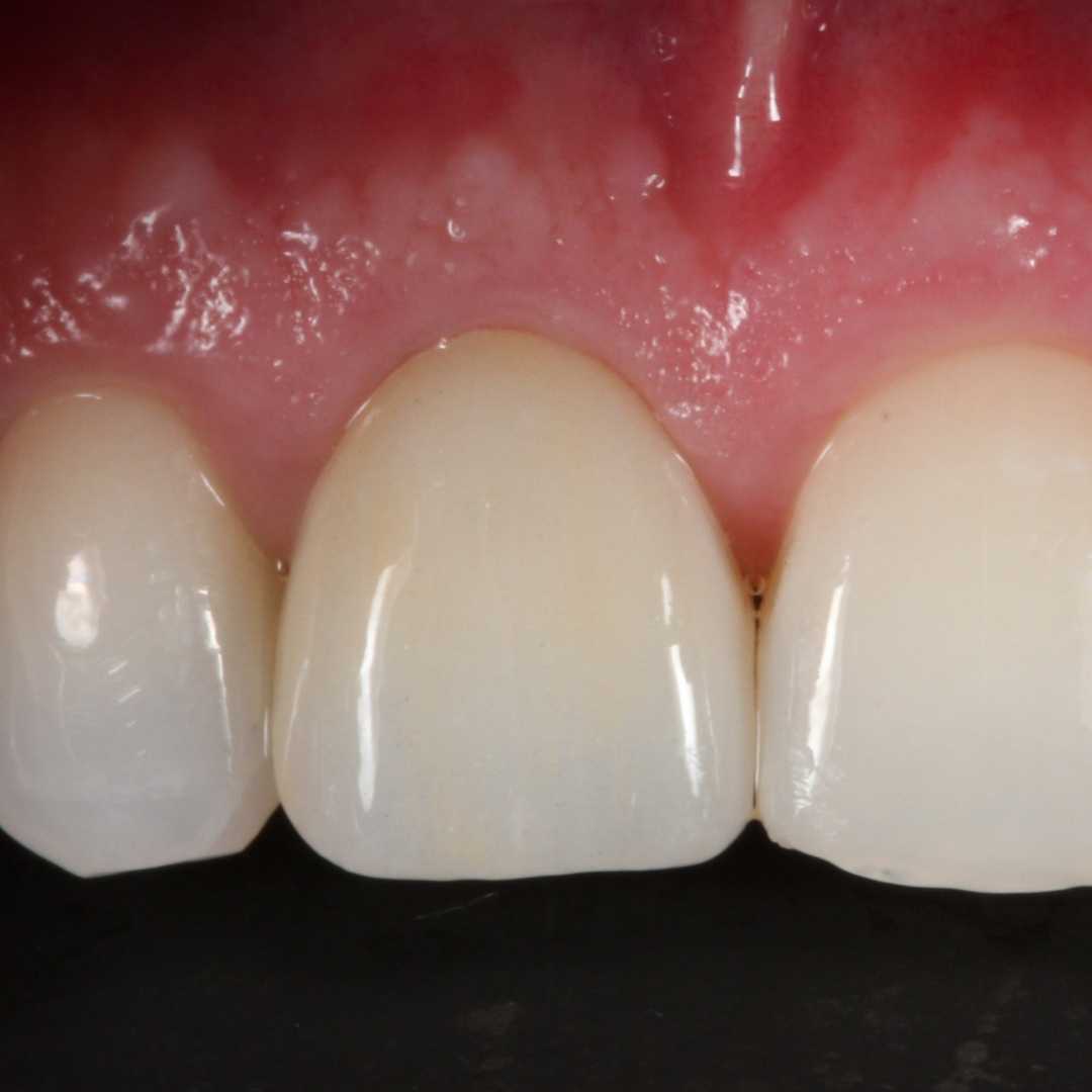
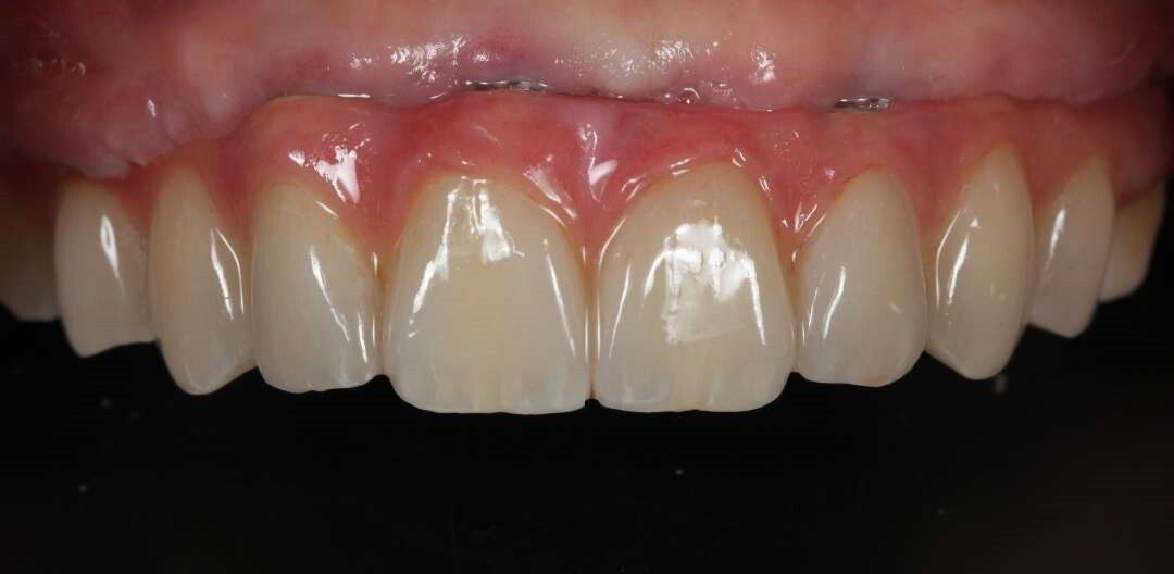
Implant in the Esthetic Zone
Dental implant treatment in the esthetic zone (front six teeth) requires extra attention to details in order to produce the most optimal result.
Surgically, a soft tissue graft may be added along with implant placement to augment the tissue volume by us. In addition, your dentist may work with you to create a provisional restoration (temporary crown) to contour the tissue ahead of the final restoration. Those little details help us achieve the most natural result possible for your smile.
Digital Workflow
Implant dentistry has evolved alongside digital technology in the past decade. In most cases, implant position can be captured with a digital scanner and the dental restoration can be made with stronger material through Computer-Aided Design/Computer-Aided Manufacturing (CAD/CAM) technology.
Full Arch Implant
In cases of terminal dentition or fully edentulism (missing all the teeth), instead of only relying on a denture, patients now have the options of a fixed, secured, natural looking dental prosthesis supported by several dental implants. The All-On-4 (or 6) treatment concept is a specific protocol developed for full arch rehabilitation, replacing all of the missing teeth in either top or bottom of the mouth with a single dental bridge. The procedure utilizes specially designed prosthetic components and surgical techniques to minimize bone grafting and the number of implants required to support a fully functional set of teeth, sometimes all in the same day. It is a complex treatment concept that often requires careful collaboration from the surgeon, restorative dentist, and lab technician on your treatment team.

















